Une étude publiée dans le Journal of Medical Imaging & Radiation Sciences (JMIRS) identifie les protocoles d'angioscanner thoracique à faible kVp, avec volume de contraste réduit et reconstruction itérative qui diminuent significativement l'exposition aux rayonnements et au produit de contraste, sans compromettre les performances diagnostiques.
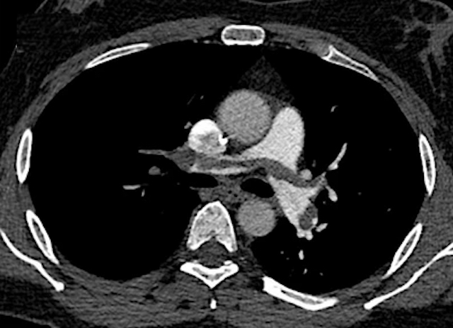
L’angioscanner pulmonaire est l’examen de référence pour la détection de l’embolie pulmonaire (EP) mais il est associé à une exposition importante aux rayonnements et à l’utilisation de produits de contraste iodés, ce qui comporte des risques inhérents pour le patient.
Les pratiques ALARA incitent à l’optimisation des protocoles d’acquisition afin de minimiser la dose de rayonnement et le volume de contraste en imagerie clinique. Une revue systématique et méta-analyse publiée dans le JMIRS a pour objet d’évaluer l’impact des protocoles à basse tension et à volume de contraste réduit, en angioscanner pulmonaire, sur la dose de rayonnement, l’utilisation de produits de contraste, la qualité d’image et la précision diagnostique.
Ce travail, qui vise également à identifier des stratégies fondées sur des preuves, pour optimiser ces paramètres en pratique clinique, a suivi les recommandations PRISMA (Preferred Reporting Items for Systematic Reviews and Meta-Analyses) dans les bases de données PubMed, Embase, Scopus, Web of Science et CINAHL afin d’identifier les études portant sur les bonnes pratiques dans ce contexte. Les études éligibles ont rapporté des résultats quantitatifs concernant l'exposition aux rayonnements, le volume de produit de contraste et la qualité d'image. Deux relecteurs ont examiné indépendamment les titres, les résumés et les textes intégraux, extrait les données et évalué leur qualité méthodologique.
Les résultats de la méta-analyse ont d'identifier 148 références, parmi lesquelles 35 études ont été incluses pour l'extraction des données. Onze de ces études fournissaient des données complètes sur la dose de rayonnement, le volume de produit de contraste et la qualité d'image. Elles ont systématiquement démontré que les protocoles utilisant une faible tension du tube (≤ 80 kVp) et un volume de produit de contraste réduit (≤ 60 ml), en particulier lorsqu'ils étaient associés à des techniques de reconstruction itérative, permettaient de réduire significativement le CTDIvol et la dose efficace de 50% à plus de 80%, tout en préservant la qualité diagnostique des images.
En adhérant à l’AFPPE, vous avez accès à l’intégralité de cet article, ainsi qu’à toutes les publications proposées par le JMIRS.
